ホワイトニングの症例⑩
こんにちは。武蔵野市 吉祥寺 さくま歯科 佐久間琢です。
今回は審美歯科の分野からホワイトニングの症例についてです。
症例です。
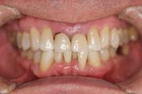
すでに前歯がかぶせてあるケースですが、ホワイトニングを行いました。
右側の写真から、天然歯がかぶせ物より黄色いのがわかります。
左が術前、右が術後です。
ホワイトニングでかぶせ物と天然歯の色が同じになりました。
さくま歯科のホワイトニングメニューでは、
蛍光灯のような不自然な白さではなく、自然な白さに仕上げる事を目差しています。
投稿日:2012年12月14日 カテゴリー:審美歯科
