審美歯科修復
審美修復・メタルフリー修復
メタルフリー修復とは、金属を使わないで治療するということです。
今までは金属を使って治すケースが多くありましたが、近年、コンポジットレジンや接着技術の向上、セラミックの物性の改善などにより金属を使わずに詰めたり、かぶせたりすることが可能となっています。
審美歯科の分野ではメタルフリー修復が主流です。
金属を使うことの弊害
金属アレルギーを引き起こします。
ゴールドの含有量が多い金属は唾液に溶け出しにくいため、比較的安全性が高いのですが、歯科治療で使う金属の中には金の含有量が少ないものもあります。
これらの金属が唾液、口腔細菌、タンパク質と結合し抗原性(アレルギー性)を持つようになります。
金属の腐食
酸化還元反応により金属がイオン化し金属表面から脱落して起こります。唾液の存在は金属の腐食を加速させますので、口の中は金属にとって不利な環境と言えます。
右の写真は、腐食して真っ黒になったパラジウムアンレーです。
歯肉の着色
金属の削りかすが歯肉に取り込まれメタルタトゥーを引き起こします。
右の写真は、パラジウムのクラウンです。
境目に金属が飛び散って歯肉が黒くなっています。
ガルバニー電流の発生
口の中に異種金属を使うことで発生する電流です。口の中で異種金属が接触すると唾液あるいは歯質を介して電流が流れます。これをガルバニー電流といいます。
ガルバニー電流は金属を腐食する原因にもなります。ガルバニー電流によって歯の神経が痛むことがあり、これをガルバニー疼痛といいます。これは電位差の大きい金属が使われていると起こることが多いとされています。
扁平苔癬や掌蹠膿胞症の原因になる
口腔内に入れた金属がアレルギー性を持つと粘膜が炎症を起こす原因になります。
写真は扁平苔癬の口腔内です。
口腔内にはたくさんのかぶせ物があり、白斑が歯肉や頬粘膜におよび、下の前歯の部分は炎症が強く赤くなっています。
メタルフリー修復の実際
コンポジットレジン・セラミックインレー修復
まず、パラジウムインレーやアマルガムがつめてある口腔内を見てみましょう。
| パラジウムインレー | アマルガム修復 |
|---|---|
![]() |
![]() |
| 適合が悪く2次虫歯になっています。 | 境目がかけて黒く、虫歯になっているのがわかります。 アマルガムは水銀を使っているため安全性に問題があります。 機能性は補えますが、安全性は保証されません。 |
次にメタルフリー修復ではどのようになるか見てみましょう。色が天然歯に近く非常に審美的です。また、金属を使わないので安全性が高い治療法です。
a.コンポジットレジンを使った虫歯治療
虫歯になっている所だけを削って充填(じゅうてん:つめること)します。
健全歯質を保存できるので、低侵襲です。
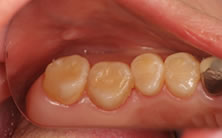
b.セラミックインレーによる虫歯治療
適合性もよく、色調も周囲の歯と調和しています。審美的であり、安全性が高い治療法です。
オールセラミックインレーによる修復。接着性セメントの使用で虫歯リスクも軽減されます。
模型上のセラミックインレーをセットしたケースです。精度の高く、色調も調和しています。
クラウンによる補綴(ほてつ:かぶせもの)
a.ファイバーコア(かぶせものの土台)
メタルフリー修復ではファイバーコアを使用します。
| メタルコア | ファイバーコア |
|---|---|
![]() |
![]() |
| 硬いため歯が破折する原因になったり、金属の腐食や、メタルタトゥーを引き起こします。 | 象牙質の硬さに近似していて、しなる事で歯の破折を防ぎます。 色調も天然歯に近く審美性が高いマテリアルです。 |
メタルコアによる歯根破折のケースです。
メタルコアがくさびとなって歯を割ってしまいます。
抜歯の適応です。
ファイバーコアは歯を守る事にもつながります。
安全性、審美性を考慮するならファイバーコアを選択すべきです。
b.オールセラミックスクラウン
ファイバーコア(土台)をセットして次にかぶせ物です。
かぶせ物には種類がありますが、白いかぶせ物では、金属にセラミックを盛り付けて作る方法が一般的でした。
現在は金属を使わずにかぶせる事ができます。
メタルセラミックスとオールセラミックスの違いを見てみましょう。
メタルセラミックスの表と裏です。
表にはセラミック(陶材)が焼きつけてあります。裏は金属です。
メタルセラミックスでは、金属を使いますので、金属色が歯肉に出てしまう事があります。
オールセラミックスの表と裏です。
裏もセラミックなので色も白色です。
金属を使わない(メタルフリー)ので安全性が高いです。
光の透過性があり、メタルセラミックスに比べ透明感があります。
また、メタルセラミックのように金属色が歯肉に出ることがありません。
模型上のオールセラミックスクラウンを口腔内にセットしました。
費用について
コンポジットレジン修復を除いてすべて自費診療になります。価格はすべて1本あたりの値段です。
| ハイブリットセラミックインレー・アンレー | ¥27,500 |
|---|---|
| オールセラミックスインレー・アンレー | ¥57,200 |
| ファイバーコア | ¥19,800 |
| オールセラミックスクラウン(ジルコニア) | ¥132,000 |
| オールセラミックスクラウン(e-max) | ¥99,000 |
※税込み価格です。




