親知らずのCT検査、神経との関係
こんにちは 武蔵野市 吉祥寺本町 さくま歯科 佐久間琢です
今回は口腔外科の分野から親知らずのCT検査、特に神経との関係についてです.
従来のレントゲン撮影は立体の構造を2次元に押し付けたようなもので、
神経麻痺は下顎の親知らずを抜歯する場合、常にリスクとしてつきまといます。CTで精査するとリスクがより確実に判断できますが、神経と親知らずの関係が変わる訳ではないので、注意しないといけません。
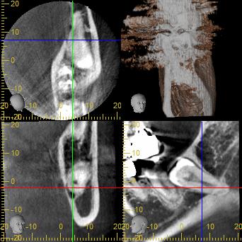
症例です
根の先端部分で神経と接しており、
方向によっては舌側の骨を破る恐れもあるケースです。
神経と近接しているのはわかりますが、麻痺が出るかどうかは抜歯してみないとわかりません。リスクが高いと言えますが、必ず神経麻痺が出るわけではありません。
神経麻痺が出た場合は、ビタミン製剤と神経賦活剤で経過を見ます。
投稿日:2019年6月17日 カテゴリー:口腔外科

 

