金属床(メタルフレーム)の義歯(入れ歯)
こんにちは。武蔵野市 吉祥寺 さくま歯科 佐久間琢です。
今回は、入れ歯(義歯)の分野から、メタルフレーム(金属床)の入れ歯についてです。
前回のレジン床(保険の義歯)とは違い、骨格に金属を使います。
頑丈に作ることができますが、保険が適応できないので経済的負担が増えます。
実際のメタルフレーム(金属床)の義歯をみてみましょう。
メタルフレームの総義歯です。
強固な金属を骨格として使うため、義歯の厚みが薄くなります。
下の写真は部分入れ歯です。
上の総義歯と同じように骨格に金属を使います。
頑丈です。
さらにこの写真の義歯はコーヌスという維持装置を使うため、バネ(クラスプ)がありません。
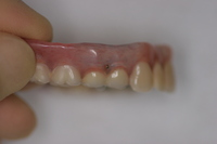
義歯を横から見てみましょう。
ちょうど維持装置の部分ですが、歯に覆われているため、維持装置とわかりません。
義歯特有のバネによる見た目の悪さ(審美障害)が軽減できます。
毎日の食事で使う大切なものですので、耐久性、適合性のよいものを選びたいものです。
投稿日:2018年7月16日 カテゴリー:入れ歯(義歯)
