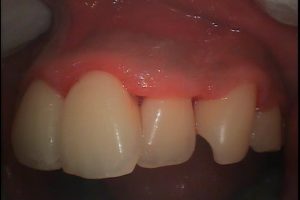
喫煙者の歯肉
こんにちは 武蔵野市吉祥寺 本町 さくま歯科 佐久間琢です。
今回は歯周病の分野かから喫煙者の歯肉についてです。
症例です
喫煙者の歯肉はごつごつしていて特有の感じをしています。
これは歯肉に線維化が起こっているためで、歯石が付いていても出血しにくかったりします。通常、歯石が付着していると歯肉に炎症が起こっていますので、歯肉から出血がありますが、線維化すると出血というサインが出にくいケースも多くあります。
歯肉は色素が沈着し黒くなっています。
かなり腫れていますが、出血が少ない状態です。
上から眺めてみると歯間乳頭部はわずかに出血しています。
線維化が進んだ歯肉は血管が少なく老廃物の排出が進まず、治りのスピードや予後に影響します。禁煙すべきだと思います。
投稿日:2016年8月19日 カテゴリー:歯周病




