歯肉退縮について
こんにちは 武蔵野市 吉祥寺本町 さくま歯科 佐久間琢です
今回は歯肉退縮についてです。
歯肉退縮とは歯肉が下がって歯根が露出している状態です。
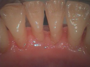
症例です。
下顎の前歯です。
歯肉が下がって歯根(黄色い部分)が露出しています。
この状態が歯肉退縮です。
裏から見ても歯肉が下がっているのは明らかです。歯肉の形は歯を支える骨の形と相似形をとるので歯肉が下がっている事は骨がなくなっていると言えるのです。
一度、骨がなくなるとそれを回復するのは一定の条件を除いて困難です。歯周病は成人の80%が罹患していると言われています。定期的なチェックを行いましょう。
投稿日:2016年1月21日 カテゴリー:歯周病


