歯石と歯肉の腫れ
こんにちは。 武蔵野市 吉祥寺本町 さくま歯科 佐久間琢です
今回は歯周病の分野から歯石と歯肉の腫れについてです。
症例です
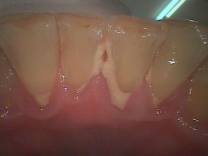
下顎の前歯です。
この場所は唾液腺の開口部があるので歯石が沈着しやすい場所です。
歯石が付着し歯肉が腫れている様子がわかります。歯肉も下がってきておりこのままにしておくと歯周病が進行します。歯周病は細菌感染が原因ですので、歯石(細菌の塊)除去と正しい歯磨きの方法を身につける事は非常に大切です。
投稿日:2015年10月1日 カテゴリー:歯周病
歯石と歯肉の腫れ | 吉祥寺の歯医者 - さくま歯科 -
こんにちは。 武蔵野市 吉祥寺本町 さくま歯科 佐久間琢です
今回は歯周病の分野から歯石と歯肉の腫れについてです。
症例です
下顎の前歯です。
この場所は唾液腺の開口部があるので歯石が沈着しやすい場所です。
歯石が付着し歯肉が腫れている様子がわかります。歯肉も下がってきておりこのままにしておくと歯周病が進行します。歯周病は細菌感染が原因ですので、歯石(細菌の塊)除去と正しい歯磨きの方法を身につける事は非常に大切です。
投稿日:2015年10月1日 カテゴリー:歯周病
さくま歯科
〒180-0004
東京都武蔵野市吉祥寺本町4-13-12
℡ 0422-20-8447
| 月 | 火 | 水 | 木 | 金 | 土 | 日 | 祝 | |
|---|---|---|---|---|---|---|---|---|
| 9:30-13:00 | ○ | ○ | ○ | × | ○ | ○ | × | × |
| 14:00-18:00 | ○ | ○ | ○ | × | ○ | ○ | × | × |