ホワイトニングの症例
こんにちは 武蔵野市 吉祥寺本町 さくま歯科 佐久間琢です
今回は審美歯科の分野からホワイトニングについてです。
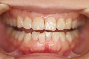
症例です
ホワイトニングの症例 | 吉祥寺の歯医者 - さくま歯科 -
こんにちは 武蔵野市 吉祥寺本町 さくま歯科 佐久間琢です
今回は審美歯科の分野からホワイトニングについてです。
症例です
        さくま歯科
〒180-0004
東京都武蔵野市吉祥寺本町4-13-12
℡ 0422-20-8447
| 月 | 火 | 水 | 木 | 金 | 土 | 日 | 祝 | |
|---|---|---|---|---|---|---|---|---|
| 9:30-13:00 | ○ | ○ | ○ | × | ○ | ○ | × | × | 
| 14:00-18:00 | ○ | ○ | ○ | × | ○ | ○ | × | × |