歯肉の発赤 歯肉炎と歯周病
こんにちは。武蔵野市 吉祥寺 さくま歯科 佐久間琢です。
今回は歯周病の分野から歯肉炎と歯周病についてです
症例です
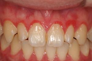
歯と歯肉の境目が赤くなっているのがわかります。
骨の吸収はないので歯肉炎の状態です。
歯磨きの方法を確認する必要があります。
このような状態を長く放置すると歯周病に移行します。
歯周病はあまり症状がなく進行します。
定期的な歯石除去やクリーニングは必須です。
予防意識を高く持ちましょう。
投稿日:2013年5月21日 カテゴリー:歯周病
歯肉の発赤 歯肉炎と歯周病 | 吉祥寺の歯医者 - さくま歯科 -
こんにちは。武蔵野市 吉祥寺 さくま歯科 佐久間琢です。
今回は歯周病の分野から歯肉炎と歯周病についてです
症例です
歯と歯肉の境目が赤くなっているのがわかります。
骨の吸収はないので歯肉炎の状態です。
歯磨きの方法を確認する必要があります。
このような状態を長く放置すると歯周病に移行します。
歯周病はあまり症状がなく進行します。
定期的な歯石除去やクリーニングは必須です。
予防意識を高く持ちましょう。
投稿日:2013年5月21日 カテゴリー:歯周病
さくま歯科
〒180-0004
東京都武蔵野市吉祥寺本町4-13-12
℡ 0422-20-8447
| 月 | 火 | 水 | 木 | 金 | 土 | 日 | 祝 | |
|---|---|---|---|---|---|---|---|---|
| 9:30-13:00 | ○ | ○ | ○ | × | ○ | ○ | × | × |
| 14:00-18:00 | ○ | ○ | ○ | × | ○ | ○ | × | × |