定期的に歯石除去しましょう
こんにちは。武蔵野市 吉祥寺 さくま歯科 佐久間琢です。
今回は歯周病の分野から定期的な歯石除去についてです。
歯石は完璧に歯磨きをしていても付いてきます。
定期的に除去することで1回のクリーニングで簡単に除去できます。
一旦、付いた歯石をそのままにすると、硬くなり1回での除去が難しくなります。
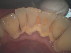
歯石を除去すると炎症を起こした歯肉が見えてきました。
ここから歯ブラシで歯肉を引き締めて行きます。
定期的に除去していると歯石が軟らかく、回数がかからずに除去が可能です。
歯石は細菌の塊です。
定期的に歯石を除去すべきだと思います。
歯肉の健康を守りましょう。
