歯の白濁と齲蝕活動性
こんにちは。武蔵野市 吉祥寺 さくま歯科 佐久間琢です
今回は予防歯科の分野から歯の白濁と齲蝕活動性についてです。
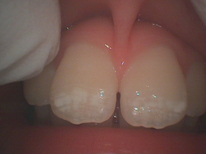
症例です。
上顎の中切歯です。
切縁1/3が白濁しているのが観察できます。
これは歯が溶けた所を再石灰化した後で、口腔内にこのような白濁がたくさんあると
虫歯になりやすいという事が言えます。
定期的なフッ素塗布などを行い歯質の強化を行う必要があります。
また、炭酸の摂取など嗜好品にも注意する必要があります。
投稿日:2012年4月10日 カテゴリー:むし歯修復, 予防歯科
