ホワイトニングの症例③
こんにちは。武蔵野市 吉祥寺 さくま歯科 佐久間琢です。
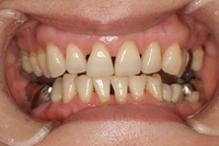
今回は審美歯科の分野からホワイトニングの症例についてです。
症例です。
左が術前、右が術後です。
オフィスブリーチングを3回、ホームホワイトニング14日で行います。
デュアルブリーチングは、まろやかな白さに仕上げる事ができます。
投稿日:2012年1月26日 カテゴリー:審美歯科
ホワイトニングの症例③ | 吉祥寺の歯医者 - さくま歯科 -
こんにちは。武蔵野市 吉祥寺 さくま歯科 佐久間琢です。
今回は審美歯科の分野からホワイトニングの症例についてです。
症例です。
左が術前、右が術後です。
オフィスブリーチングを3回、ホームホワイトニング14日で行います。
デュアルブリーチングは、まろやかな白さに仕上げる事ができます。
投稿日:2012年1月26日 カテゴリー:審美歯科
さくま歯科
〒180-0004
東京都武蔵野市吉祥寺本町4-13-12
℡ 0422-20-8447
| 月 | 火 | 水 | 木 | 金 | 土 | 日 | 祝 | |
|---|---|---|---|---|---|---|---|---|
| 9:30-13:00 | ○ | ○ | ○ | × | ○ | ○ | × | × |
| 14:00-18:00 | ○ | ○ | ○ | × | ○ | ○ | × | × |