小児のパノラマ写真
こんにちは。武蔵野市 吉祥寺 さくま歯科 佐久間琢です
今回は口腔外科の分野から小児のパノラマレントゲンについてです。
小児のパノラマレントゲンは目にする機会が少ないので紹介します。
症例です。
顎の下(オトガイ部)を強打して受診されました。
顎の下をぶつけると顎関節周囲の骨が介達骨折するケースがおおく、
パノラマレントゲンの診査は必須です。
骨折の有無を確認するために撮影しました。
骨折は認められませんでした。
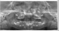
乳歯の下に永久歯が発生するので、
1枚の写真の中に歯がたくさん写ります。
小児のレントゲン
成人のレントゲン
成人のパノラマレントゲンと比べると歯がたくさん写っているのがわかると思います。
さくま歯科では、デジタルレントゲンですので、
従来の被爆量の1/2から1/3と低被爆です。
体にやさしいと言えます。
レントゲンの現像も不要なため、
フィルムや現像液がいらないので環境にもやさしいのです。
投稿日:2011年2月19日 カテゴリー:小児歯科
