武蔵野市の健診とレントゲン撮影
こんにちは。武蔵野市 吉祥寺 さくま歯科 佐久間琢です。
8月から始まる武蔵野市の歯科健診についてです。
申し込みはすでに始まっています。
保健センターに問い合わせてください.
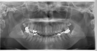
武蔵野市の歯科健診ではレントゲン検査を行うことが出来ます。
レントゲン検査では
①根の先の状態(根尖病巣:こんせんびょうそう)
②上顎洞の状態
③歯周病の状態
④虫歯
⑤親知らずの状態
⑥唾石(だせき)
⑦アゴの骨の状態
など、直接口の中を診ただけではわからない事が発見できます。
非常に良いことです。
レントゲン撮影することで圧倒的に情報量が多くなります。
さくま歯科ではデジタルレントゲンを使用していますので、
放射線被ばく量も通常のレントゲンの半分以下に抑えることができます。
体にやさしいと言えます。
また、フイルムや現像液がいらないので、環境にもやさしい訳です。
健診ではレントゲン撮影し、詳しく検査すべきです。
