コンポジットレジン修復の長所・短所
こんにちは。武蔵野市 吉祥寺 さくま歯科 佐久間琢です。
今回は保存修復学から虫歯修復、コンポジットレジンに関してです。
症例を交えて見てみましょう。
長所
虫歯の部分のみを削るので、健全な歯質を温存できます。
症例は隣接面の虫歯です。
コンポジットレジンで修復します。
右がコンポジットレジンを充填した所です。
色が天然色に近く審美的です。
ちなみに赤いのはかみ合わせの確認を行っている所です。
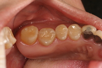
もう1つ症例を見てみましょう。
奥歯2つをコンポジットレジンで修復しました。
審美的なだけでなく、金属を使わないので、アレルギーや歯肉着色の心配がありません。
保険適応のため経済的負担が少ないという点もあります。
短所
時間が経つと変色します。
隣接面で虫歯が大きいと詰めることができません。
この場合は型を取ってインレーをセットしないといけません。
写真はハイブリッドセラミックスインレーです。
ハイブリッドセラミックスは保険適応外です。
コンポジットレジンは現在の虫歯治療には無くてはならないものです。
しかし、すべてがコンポジットで治せる訳ではありません。
虫歯が大きくなると型をとってインレー修復としなければなりません。
虫歯は小さいうちに治すべきです。
