前方整位型スプリントの治療
こんにちは。武蔵野市 吉祥寺 さくま歯科 佐久間琢です。
顎関節症の分野から顎関節症の治療についてです。
顎関節症のスプリント療法2回目です。
スプリント療法は以前ブログにも書いた運動療法と並んで、重要な治療法です。
前方整位型スプリント(リポジショニングスプリント)は、
関節雑音(カクカク音)が鳴っていて、
雑音が消失する顎位(咬み位置)が存在する場合が適応です。
以前書いた運動療法の円板整位運動療法とセットにして治療します。
運動療法も参考にしてみてください。
では、前方整位型スプリント(リポジショニングスプリント)について見てみましょう。
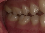
症例です。
普通にかみ合わせた位置です。
雑音が無くなる咬み位置です。上の写真と比較すると、
雑音が無くなる位置はかなり前で咬んでいる事がわかります。
この咬み位置で前方整位型スプリント(リポジショニングスプリント)をつくります。
前方整位型スプリント(リポジショニングスプリント)です。
前歯の部分が山のように盛り上がっているのがわかります。
口の中に装着した写真です。
下アゴを前方に維持させる目的のために山がついています。
昨日のスタビライゼーションスプリントが平らだったのに比べて
全く形が異なるのがわかったと思います。
適応となる症例も異なるので、しっかり診断を受ける必要があります。
また、スプリント療法では、かみ合わせが若干変わってしまったり、
逆に入れることで痛みが出ることもあります。
経過をきちんと観察し調整を行うことが必要です。
投稿日:2009年10月28日 カテゴリー:顎関節症
